【守护生命】硬币卡喉命悬一线!市一院耳鼻喉科15分钟极速破局
“4岁娃娃误吞硬币卡喉,面色发紫、呼吸困难!”“15分钟精准取出异物打通生命通道!”这不是电影剧情,而是近日发生在我院耳鼻喉科的真实急救场景。从危急时刻到转危为安,这场与时间的赛跑,不仅成功挽救了孩子的生命,更彰显了我院应对急危重症的硬核实力与责任担当。
硬币卡喉 命悬一线
午后的耳鼻喉科诊室原本井然有序,一阵慌乱的脚步声却骤然打破宁静——一位年轻母亲抱着4岁的乐乐(化名),踉跄着冲进诊室,急切呼喊:“大夫快救救我的孩子!”原来,乐乐玩耍时将1元硬币含在口中误吞,随即引发剧烈呛咳,很快小脸憋得青紫,呼吸愈发微弱,连哭的力气都没了。
被送至医院时,乐乐已出现典型的吸气性呼吸困难,胸骨上窝、锁骨上窝可见明显凹陷——这是气道梗阻的危险信号。我院耳鼻喉科主任高巍接诊后立即判断:“异物很可能卡在食道入口,呛咳已引发喉部水肿,必须马上处理,否则随时可能窒息!”
急速破局 分秒必争
性命攸关,抢救必须争分夺秒!高巍主任立即组织科室医疗团队准备实施抢救。此时乐乐面色已由紫绀转为苍白,意识开始模糊。“孩子年龄小、食道狭窄,强行拖拽易损伤黏膜,但若不立即取出,气道完全堵塞后果不堪设想——必须马上手术!”高巍主任一边安抚惊慌的家长,一边果断下达指令:“通知麻醉科准备快速诱导麻醉,手术室启动急诊绿色通道,所有人员设备立即就位!”
一场与死神的竞速就此展开:麻醉科医生携设备飞奔而至,手术室护士已提前调试好支撑喉镜与特制异物钳;家长签署手术同意书的同时,乐乐已被平稳转运至手术室;耳鼻喉科医疗团队在途中再次确认手术方案,确保每一步精准无误。从孩子入院到进入手术室,全程仅用时8分钟。

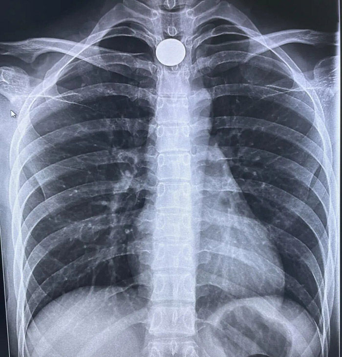
精准施救 微创取物 手术采用“直达喉镜引导下食道镜异物取出术”,以最大程度减少对患儿食道的损伤。麻醉生效后,医生借助支撑喉镜缓缓探入,在高清视野下精准锁定——一枚硬币正横卡于食道入口狭窄处,边缘已压迫黏膜。
“稳住钳子,慢慢旋转……”高巍主任亲自操作,用特制异物钳稳稳钳住硬币边缘,经轻柔旋转调整角度后,一次性将硬币完整取出。整个过程干脆利落,仅耗时15分钟。硬币取出的瞬间,乐乐的呼吸立即变得通畅,面色也逐渐恢复红润。术后检查显示,孩子食道黏膜无明显损伤,当日即可进食少量流质食物。
硬核实力 守护健康

作为江城百姓的“五官健康卫士”,我院耳鼻喉科涵盖耳、鼻、喉、头颈外科等多个亚专业,对儿童气道异物、耳源性眩晕、慢性鼻窦炎及头颈肿瘤等疾病均能提供精准诊疗。科室配备支撑喉镜、鼻内镜等先进设备,年均完成手术近700例,并针对儿童急症建立了“急诊-麻醉-手术”一体化快速响应机制,确保救治“分秒必争”。

医者初心 以民为念 乐乐的成功获救,绝非偶然,而是医院专科实力与应急救治能力的集中体现。作为三级甲等综合医院,丹东市第一医院始终将市民健康置于首位,通过持续强化学科建设、打磨急救技能、优化多科协作机制,让每个科室都成为守护生命的“前沿阵地”。全院医务人员以“担得起急症、治得好重病”的专业本领,和“视患者如亲人”的服务情怀,为江城百姓筑牢健康“防护墙”,让每一次危急时刻,都能化险为夷,重现生机。