您的位置:首页 > 医院快讯

【守护生命】肝癌突发破裂险象环生,介入微创力挽狂澜

发表时间:2025-12-03  作者:丹东市第一医院
      “肚子里就像炸雷了一样,疼得直不起腰,现在想起来都后怕!”71岁的葛先生躺在病床上,握着我院介入科医生的手反复道谢。谁能想到,几个小时前他还因肝癌肿物突发破裂出血,命悬一线。

急症突至:肝癌破裂,生命告急
      葛先生的“抗癌路”已走了两年多,确诊原发性肝癌后,他一直规律接受免疫和分子靶向治疗,虽然还伴有乙肝、肝硬化等疾病,但病情始终控制稳定。可就在一天傍晚,毫无征兆的剧烈腹痛突然袭来,他全身发软、头晕眼花,心率也跟着飙升。家人见状不妙,立刻拨打120将他紧急送到我院介入科。

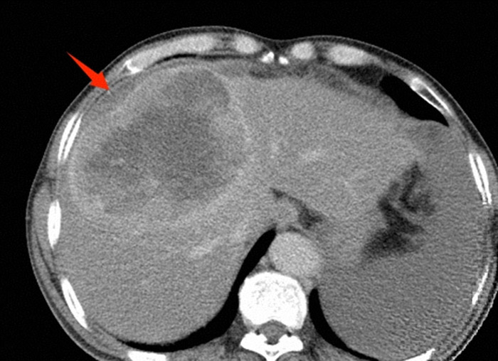
肝脏肿瘤破裂造成腹腔内出血
      急诊检查结果让所有人都捏了把汗:血压最低跌至55/30mmHg,远低于正常标准;血红蛋白仅85g/L;腹部CT清晰显示肝癌病灶破裂,伴有大量出血。诊断性腹腔穿刺抽出不凝血——这是肝癌患者最凶险的并发症之一,若不能在短时间内止血,失血性休克随时会夺走生命。

术前诊断性腹腔穿刺抽出不凝血液
微创出手:精准栓塞,化险为夷
      介入科主任姜政伟迅速组织科室医疗团队评估病情,经过充分讨论和科学研判,最终决定实施“肝脏肿瘤供血动脉灌注栓塞术”治疗。手术中,在先进的数字减影血管造影机(DSA)引导下,治疗团队精准找到肿瘤的供血动脉,通过一根纤细的导管将栓塞剂精准送达出血点,像“堵洪水”一样阻断出血源头。整个手术治疗不到1小时就顺利完成,仅在腹股沟处留下一个针眼大小的创口。

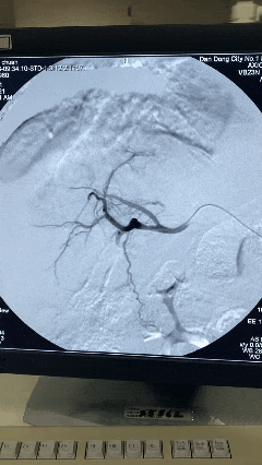
术中栓塞前DSA造影图像

栓塞后DSA显示肿瘤出血完全停止
转危为安:创口微小,恢复神速
      手术结束那一刻,葛先生的血压就开始稳步回升。回到病房后,经过补液、输血等对症治疗,他的腹痛症状很快缓解,精气神也一天天好起来。复查时各项指标均恢复正常,不久便痊愈出院。“原以为这下挺不过去了,没想到市一院介入科的医生们这么厉害,伤口小恢复还快,真是救了我的命!”葛先生和家属们逢人便说,难掩心中的喜悦和感激。

硬核实力:医术精湛,守护江城
      作为丹东地区介入诊疗的“主力军”,我院介入科早已凭借精准的微创治疗技术圈粉无数。科室年完成各类介入手术2000余例,从肿瘤介入到血管介入,从急危重症抢救到慢性疾病治疗,诊疗范围覆盖全领域。科室依托三甲综合医院平台的强大后盾,能够快速联动其他科室,形成“多学科协作”的救治合力,为急危重症患者搭建起生命绿色通道,已然成为江城百姓身边最可靠的“生命防线”。