您的位置:首页 > 医院快讯

【技术引领·健康丹东】“生命通道”的守护者——丹东市第一医院神经内科血管介入治疗,为市民健康保驾护航

发表时间:2025-11-07  作者:丹东市第一医院
      在丹东,脑血管病以其高发病率、高致残率和高死亡率,悄然威胁着许多家庭。幸存者往往还需要面对肢体功能障碍、认知能力下降等后遗症,给个人和家庭带来沉重负担。随着社会老龄化进程,如何有效防治脑血管病,显得尤为重要。
      幸运的是,医学的进步为我们带来了强有力的武器——神经介入治疗技术:医生仅通过微创方式,在数字减影血管造影(DSA)的精确引导下,便能直击大脑血管的病灶。无论是紧急开通堵塞的血管,还是预防性地撑开狭窄的动脉,都取得了较好效果,为患者提供了全新的生命希望。
      今天,就让我们通过两位普通市民的经历,来认识这项守护“生命通道”的先进技术。
与时间赛跑,打开“生命通道”
      早晨六点,68岁的徐阿姨按照往常准备出门买菜。突然,她感觉右手使不上劲,茶杯“啪”地摔在地上。他想喊老伴,却发现话到嘴边变得含糊不清,右半边身体也不听使唤了。“坏了!”这是徐阿姨意识清醒时的最后一个念头。
      几分钟之后,我院神经内科卒中治疗团队就接到了急诊电话:“一名急性脑卒中患者正在转运途中,发病时间约半小时!”

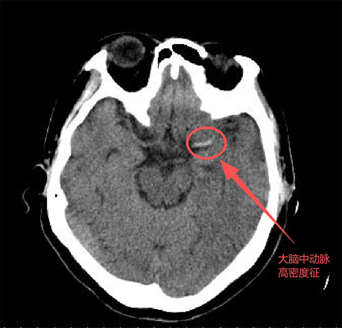
治疗前影像检查
      救护车呼啸而至时,我院神经内科卒中团队早已严阵以待。急诊绿色通道迅速开启。经过快速评估和CT检查,徐阿姨被确诊为急性大血管闭塞性脑梗死。这种疾病俗称“脑中风”,每一分钟延误,就有190万个脑细胞死亡。“立即准备溶栓桥接血管内介入取栓!”神经介入医生宫昭城当机立断,立即实施抢救治疗。

取栓治疗前

取栓治疗后
      在脑血管介入手术室里,一场没有硝烟的战斗打响了。神经介入科主任孟庆贵和科室医生宫昭城,通过患者大腿根部一个针眼大小的穿刺点,将导丝、导管在血管内精准导航,直达脑血管闭塞处。通过造影,可以清晰地看到徐阿姨左侧颈内动脉的主干被血栓完全堵死。
      “取栓支架到位,释放!”五分钟后,当取栓支架带着暗红色的血栓从血管中取出,屏幕上原本中断的血流瞬间恢复畅通。从入院到血管再通,仅用了58分钟。
      术后第二天,徐阿姨的右手能抬起来了,说话也清晰了。出院时,她握着医生的手激动地说:“是你们救了我的命。要是瘫在床上,真不知道这个家该怎么办。”
不只是急救,更是长久的守护
      如果说徐阿姨的经历展现的是血管介入治疗的“急”,那么63岁的毕大爷的故事,则体现了这项技术的“稳”。
      毕大爷患有高血压、糖尿病多年,最近经常出现一过性的头晕、四肢无力,眼前发黑。多次辗转多家医院效果不佳,在我院神经内科就诊后,脑血管造影检查发现:他右侧椎动脉闭塞,左椎动脉开口重度狭窄达90%,就像血管里埋了个“不定时炸弹”。

支架治疗前
      “这个狭窄程度很危险,随时可能发生严重脑梗。”神经介入科主任孟庆贵拿着造影结果耐心地向家属解释到,“我们现在可以通过血管内介入手术,放置一个支架把狭窄的血管撑开,从根本上预防脑中风的发生。”

支架治疗后
      因毕大爷存在血管变异情况,左椎动脉从主动脉弓上直接发出,这给手术增加了很多难度。神经介入治疗团队在术前充分讨论,根据毕大爷的特殊情况,制定了详细的手术方案。最终,通过“悬吊、交换”技术,毕大爷顺利完成了椎动脉支架植入。术后第二天就能下床活动,并且告诉医生“头也不晕了,眼睛也亮了,心情好多了!”
技术引领,守护江城百姓健康
      我院神经内科介入治疗团队,今年1月至今已成功救治了60余例像徐阿姨和毕大爷这样的患者。这项技术的开展,标志着我院在脑卒中诊疗领域迈上了新台阶,达到了省级先进水平。
      近年来,在医院的大力支持下,科室主任万里姝带领科室医疗团队不断探索创新,积极选派技术骨干到北京协和医院、北京天坛医院、北部战区总医院、吉林大学附属第一医院等国内顶尖医疗机构进修学习。如今,神经内科已建设成为丹东地区技术过硬、服务优质的重点学科,赢得了业界的认可和市民的信赖。

      从紧急取栓到预防性支架植入,从生命急救到长期守护,我院神经介入技术的开展,不只是单一的医疗项目,更是一个完整的脑血管健康保障体系。这里的白衣战士们用精湛的医术和温暖的关怀,践行着“以患者为中心”的服务理念,让先进的医疗技术真正惠及普通市民,为江城百姓筑起一道坚实的健康防线。