您的位置:首页 > 医院快讯

【技术引领·健康丹东】26厘米肿瘤深藏老人腹腔,多学科协作为生命护航

发表时间:2025-10-22  作者:丹东市第一医院
      七十岁的刘大爷是位勤劳朴实的农民,辛苦劳作了一辈子,身体一直没有什么大毛病。前段时间,他无意中摸到上腹部有个硬块,不痛不痒,就像在身体里藏了位“沉默的客人”。起初他没太在意,总觉得“不疼不痒,不算毛病”。然而随着时间的流逝,这位“客人”似乎在悄悄长大,就像一个比拳头还大的硬块顶在肚子里。这下子,老人坐不住了,赶紧在家人的陪伴下来到我院普外一科就诊。
求医路上的辗转与希望
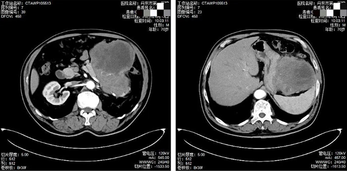
      我院普外一科的薛宏威医生接诊后,为刘大爷安排了CT检查。当检查结果出来时,科室见多识广的医生们都在暗自吃惊——刘大爷的腹腔里竟然藏着一个直径接近26厘米的巨型肿瘤,相当于一个小西瓜的大小,严重压迫着胃体、胰腺和脾脏等重要器官。
      “当时薛医生很耐心地给我解释病情,说这个瘤子得做手术。”刘大爷回忆道,“但我这把年纪了,血压、血糖也都偏高,心里直打鼓。”考虑到手术风险和家里的经济条件,刘大爷犹豫了。
      在接下来的日子里,刘大爷和家人辗转多家医院求医。但由于肿物巨大、手术复杂、风险极高,得到的回答都是“无能为力”。就在一家人几乎要放弃时,一位亲戚的话点燃了新的希望:“听说市一院普外科挺厉害的挺有名,专家也多,能治很多疑难杂症,要不我们去那试试看呢?”
多学科会诊:为生命保驾护航
      抱着最后一线希望,刘大爷再次来到我院普外一科。尽管刘大爷已年届古稀,还伴有多年高血压和糖尿病病史,但经过以我院副院长、普通外科主任吴瑶强带领的多学科专家团队的全面评估,发现老人的基础疾病控制得不错,心肺功能也足以耐受手术。
      为了确保手术万无一失,医院组织了包括呼吸内科、心内科、麻醉科、输血科、ICU等科室的专家进行大会诊,为刘大爷量身定制了详细的手术方案和应急预案。
三个小时的"生命拆弹"
      8月19日,在今年的“中国医师节”当天,当大多数医生都在庆祝这个属于医者的节日时,手术室里正在进行一场没有硝烟的战斗。
      无影灯下,吴瑶强副院长带领的普外一科医疗团队开始了这场高难度的“生命拆弹”手术。当打开腹腔时,眼前的景象比影像检查显示的还要复杂:肿瘤与周围脏器紧密粘连,形成了一个巨大的肿块。手术团队就像拆弹专家小心翼翼地剪断每一根电线一样,精准地分离着肿瘤与正常组织的边界。
      经过三个多小时的精细操作,这个重达数斤的巨型肿瘤被完整切除。当最后一个缝合线打结时,手术室里所有人都松了一口气。
专家深度解读:破解手术技术难题
      术后,吴瑶强副院长对这一高难度病例进行了专业解读。
      “腹腔内巨大占位患者在治疗过程中面临着多重挑战”,吴瑶强副院长指出,“首要风险就是出血问题。由于瘤体巨大,存在大量滋养血管,肿瘤血供丰富,手术中极易引起大出血。我们在术中发现肿瘤表面有多根粗大血管,血供极为丰富,而且肿瘤质地较脆,轻微触碰就会渗血”。吴瑶强副院长形象地比喻道,“这个手术就像在布满管线的房间里拆除一个已经启动的炸弹”,“为了避免大出血问题,我们首先结扎脾动脉,减少切脾时血液丢失,然后小心翼翼地分离肿瘤与周围组织的粘连”。
      “另一个重要挑战是术后并发症的预防”,他补充道,“由于肿瘤与胰腺等器官存在严重侵犯,术后可能出现胰液外漏。胰瘘会导致严重的腹腔内感染、腹腔内大出血及胃肠瘘等情况,直接威胁患者的生命安全。为此,我们在术中对胰腺断面进行了精细的U字缝合结扎,术后还对胰腺周围进行了持续冲洗引流,这些措施显著降低了胰瘘的发生概率”。
温暖康复路,医患情深
      在我院普外一科医护人员的精心照料下,刘大爷的恢复速度出乎所有人的预料。术后第二天,他就能在家属搀扶下床活动;术后第三天,肠道功能恢复,可以进食米汤等流质食物;术后两周,康复良好的刘大爷带着笑容顺利出院。
      出院时,刘大爷握着医护人员的手,眼眶湿润”,“是你们给了我第二次生命。这里的医生护士待我就像亲人一样,连每天该吃什么、怎么活动都交代得清清楚楚”。
技术引领,服务为民
      此例高难度手术的成功完成,标志着我院普通外科在复杂腹腔肿瘤手术治疗方面已达到省内先进水平。
      吴瑶强副院长表示:“近年来,我们科室积极开展新技术新业务,已有多项技术填补了我市相关医疗领域空白。作为丹东地区首个省级临床重点专科,我们始终秉持勇于探索、不断创新的精神,努力提升诊疗水平。”
      用精湛医术守护生命,用温暖服务慰藉心灵——在丹东市第一医院,像刘大爷这样的故事每天都在发生。这里的白衣战士们用他们的专业与担当,守护着每一位患者的健康与希望,用实际行动践行着“以患者为中心,全心全意为患者服务”的理念,为江城百姓的健康保驾护航。