您的位置:首页 > 医院快讯

【特殊病例】我院成功为“镜面人”患者实施腹腔镜下结肠癌手术

发表时间:2024-02-22  作者:丹东市第一医院
      日前,我院成功救治了一位极为罕见的“镜面人”患者。如同镜子中所呈现图像与实际方向相反一样,“镜面人”的五脏六腑也与常人的位置完全相反,这就是罕见的内脏反位。一般来说,“镜面人”的发生概率大约在百万分之一左右。
【初识患者】
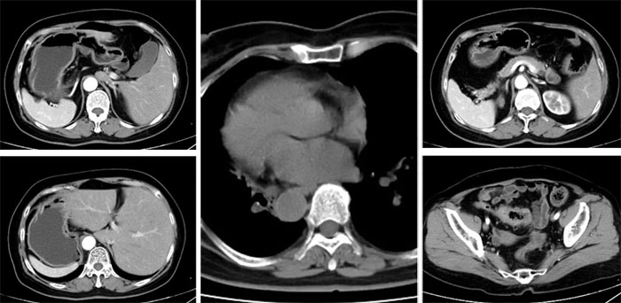
镜面人遇到乙状结肠癌
      三个多月前,谢阿姨发现自己时常出现腹痛腹胀等不适感,而且出现排便规律改变,但是那时候谢阿姨未在意。直到最近发现大便中带血,这才引起警惕。在我市其他医院做肠镜检查后发现,谢阿姨不幸患上了乙状结肠占位性病变,病理显示为腺癌。紧张不已的谢阿姨四处寻医,在亲朋好友介绍下得知我院已经成熟开展并成功完成了上千例腹腔镜下结直肠癌手术。最终在家人的陪同下,谢阿姨来到我院普外一科进行诊治。幸运的是,谢阿姨在我院完善检查后,并未发现有远处转移,可以行手术治疗。但是,影像检查同时也发现谢阿姨是位完全内脏反位的“镜面人”。
【逆向思维】
一场逆向拆弹手术
      为“镜面人”做手术,不亚于“脑筋急转弯”,一切手术操作都是反的,手术视野也完全相反。镜面的解剖解构和变异,会颠覆医生的常规认知。术者的手术思维及操作均需“反其道而行”,要改变以往的手术习惯,许多精细操作亦变为平时的反方向,手术难度极大。我院普外一科医疗团队在术前仔细研判、反复论证,制定了周密的手术方案和应急预案,经过两个多小时的紧张手术,成功完成了这例极为罕见的镜面手术。吴瑶强副院长带领的普外一科医疗团队,打破惯性思维,成功实施“腹腔镜下乙状结肠癌根治术”,术中出血量仅为30ml,将谢阿姨的肠内肿瘤完整切除,达到了根治效果。谢阿姨术后恢复良好,无相关并发症,在术后第10天顺利康复出院。
      我院副院长、普通外科主任吴瑶强表示:“内脏反位在临床上较为罕见,全内脏反位乙状结肠癌更为少见。解剖学上的变异,让手术的难度系数飙升。手术难度体现在术者手术操作过程中,思维定势、视觉反位、右手反位操作等方面,往往显得很不适应。这就要求术者有良好的空间方位感、扎实的解剖学基础以及熟练的腔镜操作能力,唯有如此,手术才能安全进行。”
      由于缺乏全内脏反位患者标准化的手术指南,手术实施往往比较困难。作为“辽宁省胃肠疾病微创专业技术创新中心”,我院普通外科面对复杂、高难且并发症发生率高的疑难杂症,勇于探索、不断创新,积极开展新技术新业务,致力于提高医疗质量,尤其是微创手术技术在丹东地区遥遥领先,已有多项新技术填补了我市相关医疗领域空白。
      以精湛医疗技术和优质医疗质量为市民群众的健康保驾护航,是第一医院永恒的追求,为此我们还将不断攀登医学高峰,努力推动丹东及周边地区普通外科诊疗水平的持续提升,为更多患者解除病痛。