
世界领先的德国西门子SOMATOM Drive双源CT于近日在丹东市第一医院医学影像科安装调试成功并投入使用。西门子SOMATOM Drive双源CT采用全球独创的双球管-探测器结构,具有扫描速度快,图像质量高,辐射剂量低等特点,临床应用领域广泛,在全身各部位的无创成像方面开创了高端CT应用的新纪元。

西门子SOMATOM Drive双源CT具有超高的扫描速度及时间分辨率,在全新Turbo Flash技术的支持下,完成全身动脉检查仅需3秒,冠状动脉扫描更是无需严格限制心率。对于胸部肺动脉扫描检查,扫描时间不到1秒,可以得到清晰的肺动脉图像,避免肺静脉干扰。完成2米范围全身动脉扫描仅需3秒,即可得到清晰图像。全新0兆球管性能优异,可持续行大范围扫描,轻松应对双下肢动脉CTA检查。
西门子SOMATOM Drive双源CT配合强大的Syngo.Via智能工作站可实现更高级的临床应用;肿瘤分割技术可对肺、肝、淋巴结以及其它各部位组织病灶实施一键式自动分割 ,自动测量,并且提供多种重要的肿瘤学参数。为检查定性,手术、放化疗前后效果提供可靠依据,做到真正意义上的精准医疗。

双低:低辐射剂量+低对比剂剂量
医学影像扫描的安全问题始终是人们关注的焦点,SOMATOM Drive CT以其卓越的低辐射剂量检查技术,在保证优质图像的前提下智能优化扫描辐射剂量,可以实现一张胸片的辐射剂量下获得全肺的筛查CT图像,三张胸片的辐射剂量下完成冠脉CTA扫描。在获取高质量影像图片的同时,也保证了低剂量带来的CT检查安全。
SOMATOM Drive CT行血管CTA检查(如冠状动脉、头颈部血管、全主动脉、下肢动脉CTA等检查),对比剂使用量仅为之前CTA检查的一半,极大减少了对比剂对身体的负荷。

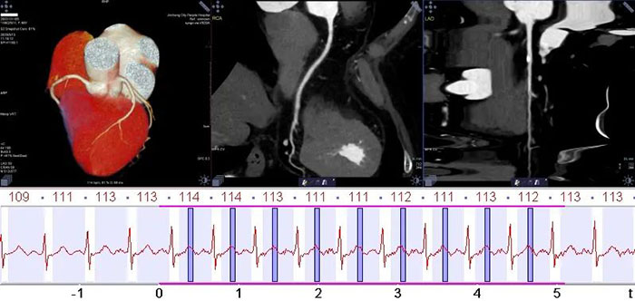
冠状动脉CTA检查心率不受限
双64排探测器,0.25秒超高转速,时间分辨率达75ms,冻结心跳,实现无禁忌冠状动脉成像。
因为扫描速度快,可以在一次心跳内完成心脏扫描,对于心率不齐,心跳过快的病人可以在不用药物限制心率的情况下,直接做冠脉CT检查,免去了控制心率的等待时间。

大螺距Turbo Flash扫描
西门子双源CT独创的Turbo Flash(大螺距)模式,其螺距能达到3.2,扫描速度高达73.7cm/s,可在1秒内完成胸腹大血管、头颈心一站式筛查。儿科及无法配合憋气的患者无需憋气,实现平静状态下肺部CT成像,图像清晰,扫描速度快,仅需1秒左右,且射线剂量低。

伪影控制
最新ADMIRE基于原始数据域的迭代重建技术,不仅可以大幅降低图像噪声,降低伪影影响,还可以降低扫描辐射剂量,在骨科检查方面具有巨大优势。

此次超高端CT的引进,进一步提升了我院医学影像基础设备水平,相信在众多专家的开发和应用下,这台西门子SOMATOM Drive双源CT必将发挥其最高性能,助力医院临床和科研能力的进一步提升,更好地服务患者。