乳腺钼靶
全称乳腺钼靶X线摄影检查,又称钼钯检查,是目前诊断乳腺疾病的首选和最简便、最可靠的无创性检测手段,痛苦相对较小,简便易行,且分辨率高,重复性好,留取的图像可供前后对比,不受年龄、体形的限制,目前已作为常规的检查。

适合人群
1.妇女常规健康查体,建议40岁以上妇女每年进行一次常规检查。
2.有相应症状的患者或高危人群女性35岁以上,需做钼靶照片协助诊断。
3.已确诊为乳腺病变的患者随时进行复查,以便及早发现病变的变化,对症治疗。
优点:
1.痛苦较小,简便易行,分辨率高。
2.可以发现早期乳腺癌,早治,早保乳。
如何预防乳腺癌



1.改变日常生活方式,如健康饮食、限制饮酒、坚持运动等。
2.定期进行乳房自我检查,实时了解乳房动态变化,如果乳房出现异常迹象,应及时就诊。
3.为了降低患乳腺癌的风险,激素治疗时尽量使用最低剂量。
4.对于乳腺癌高危女性,如有乳腺癌家族史或乳腺癌基因突变者,可进行预防性药物治疗(如雌激素受体调节剂、芳香化酶抑制剂等)或手术治疗(如预防性乳房切除术、预防性卵巢切除术等)。
丹东市第一医院放射科最近引进的数字化乳腺钼靶X线机
是诊断乳腺疾病的首选和最简便、最可靠的无创性检测手段,痛苦相对较小,简便易行,且分辨率高,重复性好,留取的图像可供前后对比,不受年龄、体形的限制,已作为常规的检查。对发现早期癌病及乳腺结节,提高乳腺病变诊断有很大的作用。
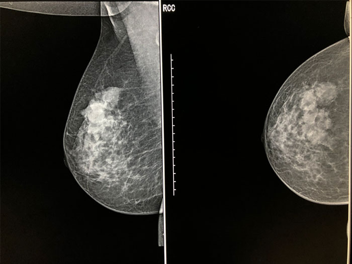
案例
女性,57岁,检查发现右侧乳腺外上象限有多处肿物影。
