您的位置:首页 > 医院快讯

【学术交流】我院胸外科“地形图流域法+单孔胸腔镜联合亚段切除手术”惊艳亮相我市胸外科学分会学术论坛

发表时间:2025-09-30  作者:丹东市第一医院
      9月24日,在“丹东市医学会胸外科学分会手术观摩学习班暨第八届今'肺'昔比丹东地区胸外科论坛”上,我院副院长、胸外科主任王勇智率领医疗团队成功进行了“地形图流域法(ICG荧光染色法)+单孔胸腔镜联合亚段切除术手术”演示直播。
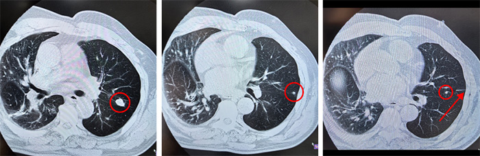
      病例特点:李某,76岁,半年前发现右肺结节,行胸腔镜右肺上叶尖段切除术,病理确诊肺原发骨肉瘤,经3周期化疗后,患者拒绝继续治疗,在随诊过程中发现左肺3个结节且逐渐增大,位置集中在左肺上叶尖后段的c亚段和部分上舌段,患者手术意愿强烈。
      手术特点:目标结节(红色圆圈3个)位于左肺上叶,需切除左肺上叶部分尖后段和部分上舌段,经科室讨论后,采用了“结节部位双认证”的模式,即术前CT引导穿刺定位最低结节(红色剪头所指为穿刺针,即第一认证),便于术中明确拟切除的结节在预定手术切除肺段范围内  
      术中游离切断供应“目标肺段”的动脉分支,静脉注射吲哚菁绿,将胸腔镜开启荧光模式,显示出“目标肺段”和“健康肺段”的分界(图2染色的为健康肺段,即第二认证),并确保目标结节在“目标肺段”内,将目标肺段予以切除。
      本次手术演示线下约20余名医生观看,近270名业内人士在线上观看手术直播。
      我院胸外科在2019年即开展ICG染色荧光胸腔镜手术技术,通过不断探索和实践,流域法+单孔胸腔镜手术技术已成为科室常态化手术方式之一。
      地形图流域法(ICG荧光染色法)通过其精准、快速、清晰的实时导航能力,极大地提升了胸腔镜肺段切除术的安全性、准确性和效率,尤其为需要最大限度保留肺功能的早期肺癌和肺功能储备差的患者来说提供了更优化的手术方案。同时,清晰的边界也降低了外科医生在术中判断切除范围的难度和不确定性,尤其对于复杂肺段或段间平面走行异常的患者优势更大,医生能更加安全地开展胸腔镜肺段切除术。
      加之更加微创的单孔胸腔镜手术技术、结合快速康复(ERUS)理念,最大程度上减轻了患者术后疼痛,减少了手术并发症的发生,也代表了胸外科手术迈向更精准、更微创方向的重要技术进步,是当前胸腔镜肺段切除术中备受推崇的“黄金标准”技术之一。